Necmettin Erbakan Üniversitesi, diş hekimliğinde yapay zekâ kullanımının çığır açtığını duyurdu.
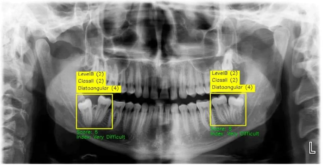
Üniversitenin Diş Hekimliği Fakültesi Öğretim Üyesi Prof. Dr. Melek Taşsöker Bulut, ağız ve çene radyolojisinde yapay zekâ teknolojisinin teşhis doğruluğunu yüzde 99 seviyesine çıkardığını belirtti.

Prof. Dr. Bulut, teknolojinin “süper asistan” rolü üstlenerek insan hatasını minimize ettiğini ve klinik uygulamalarda güvenliği artırdığını vurguladı.
Yapay zekâ destekli diş hekimliği, hem hekimlerin iş yükünü hafifletiyor hem de hasta güvenliğini güçlendiriyor.